De lengte van het vorige (achteraf natuurlijk veel te lange, en misschien beetje saaie) stukje gaf al een beetje aan dat ik misschien wat meer tijd voorhanden heb..
Maarreuh, dat klopt dus.
De afgelopen week verschuift mijn wereld een beetje tussen de bank op de veranda, en de bank binnen - zolang ik maar stil met been omhoog kan zitten..
Zoals wel vaker op n late zondagmiddag, ging ik laatst even snel waterplantjes halen voor in de vijver, en meteen ook ff wat koude biertjes.
Op de terugweg kwamen een aantal flinke regendruppels naar beneden, en toen ik op de weg langs de botanische tuin reed, was de weg daar al best nat, en begon het echt te regenen (is begin regenseizoen hier, en dus dagelijks HARDE regen aan eind van de middag). Logischerwijs wilde ik proberen om de regen voor te blijven, want was met korte broek, slippertjes en hemdje niet echt gekleed op harde regen - best fris op de motor dan namelijk. Ik had nog maar net het gas opengedraaid om dat ook te laten lukken, of de auto voor me staat opeens uit het niets volledig stil. Natte weg + hard de remmen indrukken gaat blijkbaar niet goed samen, dus slipte ik, en viel om vlak voordat ik de auto zou raken, met eigenlijk helemaal geen snelheid meer. Mooimooi, auto niet geraakt - die reed trouwens meteen door - en geen krasje te zien op mn lichaam..
De motor die op mn enkel landde voelde niet zo fijn, maar was al snel door omstanders er vanaf gehaald en naar de kant van de weg gebracht. Ff een beetje bijkomen van de schrik in de nu HELE harde regen en onweer, en kijken of er iets stuk was aan de motor. de 'mesjien' deed het gelukkig nog, maar de achterrem zat vast, dus wiel draaide niet. Ik had natuurlijk niet mn telefoon bij me, dus even melden dat het wat later zou worden kon niet. Verder had ik een motor die niet weg kon rijden, een wat gevoelige enkel, en was ik ondertussen drijfnat. Na ongeveer een uur rondlopen in de buurt, en uiteindelijk met hulp van een alleraardigste becak chauffeur een motor monteur gevonden, die dmv een baksteen tegen de motor aan te slaan (terwijl hij met zn andere hand een rubberen mat boven zn hoofd hield om nog soort van droog te blijven) het wiel weer liet draaien (ja, by then maakte het me allemaal niet zoveel meer uit).
Ik blij, en in de 2e versnelling door plensbuien en diepe plassen naar huis gereden (schakelen was een beetje auw).
Thuis heeft Carola de motor naar binnen geduwd, en die had zich inderdaad al afgevraagd waar ik nou bleef..

De volgende dag deed het allemaal best wel pijn, dus toch maar even foto laten maken in wat algemeen word gezien als het/1 van de beste ziekenhuis in Bogor. Carola en ik waren het allebei eens dat de teen waarschijnlijk wel gebroken was, maar de enkel niet, want had m de vorige dag nog belast.
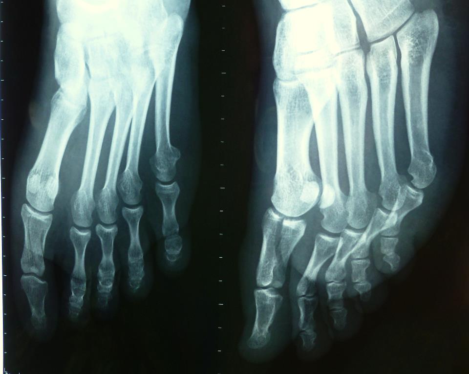
Ik kreeg mn eigen rolstoel (best vet, stiekem - vooral als je niet door de suster word rondgereden, maar zelf rolt), en direct naar de rontgen afdeling. Ik heb de beste rontgenfoto jongen in de tussentijd nog een paar tips gegeven om straling te verminderen, en na een aantal minuten kregen we de fotos in handen, om terug naar de eerste hulp te nemen. Instelling technisch niet helemaal perfect, maar goed genoeg om wat duidelijke veranderingen te zien: tijdens het teruggaan naar eh hoorde ik carola zeggen "nou, die enkel is dus stuk" en met een snelle blik achterover vanuit de rolstoel was ik het daar wel mee eens. Hetzelfde met de grote teen.
De eerste hulp dokter keek wat leek op n kwartier aandachtig naar de fotos, waarop ik nog zei: "kijk, das nou goed, alles bekijken, niet focussen op het duidelijke probleem". Haar conclusie: verstuikte enkel, paracetamolletje, en naar huis. Ik wees dus even de fracturen aan, waarna ze zei "nee, verstuikt, maar misschien kan je morgen langs de orthopeed gaan? *zucht...*
Het desbetreffende ziekenhuis (met het heel erg internationaal aandoende motto: " We Care Your Health"....) wilde ik dus liever niet meer naartoe. Achteraf was de vorige keer toen ik dengue had in dat ziekenhuis de diagnose ook oorspronkelijk mazelen, waarna ik zelf maar heb gevraagd om specifiek op dengue te testen... Toch een beetje verontrustend allemaal, je kan dus beter niet iets echt ergs krijgen terwijl in Bogor, al zijn er genoeg capabele mensen in Jakarta, maar da's net even wat verder weg, en vastzitten in het verkeer met iets echt ergs lijkt me ook niet echt fijn..
Ik wist nog wel een echt goede orthopeed in Jakarta, die ook 1 van de orangutans heeft gefixt vorig jaar. Die had ongeveer een milliseconde nodig om de breuken te zien, en gaf de keuze opereren (pennetje erin, en meteen klaar) of, iets langere duur, maar zelfde resultaat, want nette fractuurlijn - een gipsje. Het is dus de tweede keus geworden, 2 weken rust, en dan nog 2-4 weken langer dat gips erop laten, maar mag er dan op lopen.
Ondertussen, na 8 dagen, word ik al redelijk gek van het stilzitten..
Maarreuh, dat klopt dus.
De afgelopen week verschuift mijn wereld een beetje tussen de bank op de veranda, en de bank binnen - zolang ik maar stil met been omhoog kan zitten..
Zoals wel vaker op n late zondagmiddag, ging ik laatst even snel waterplantjes halen voor in de vijver, en meteen ook ff wat koude biertjes.
Op de terugweg kwamen een aantal flinke regendruppels naar beneden, en toen ik op de weg langs de botanische tuin reed, was de weg daar al best nat, en begon het echt te regenen (is begin regenseizoen hier, en dus dagelijks HARDE regen aan eind van de middag). Logischerwijs wilde ik proberen om de regen voor te blijven, want was met korte broek, slippertjes en hemdje niet echt gekleed op harde regen - best fris op de motor dan namelijk. Ik had nog maar net het gas opengedraaid om dat ook te laten lukken, of de auto voor me staat opeens uit het niets volledig stil. Natte weg + hard de remmen indrukken gaat blijkbaar niet goed samen, dus slipte ik, en viel om vlak voordat ik de auto zou raken, met eigenlijk helemaal geen snelheid meer. Mooimooi, auto niet geraakt - die reed trouwens meteen door - en geen krasje te zien op mn lichaam..
De motor die op mn enkel landde voelde niet zo fijn, maar was al snel door omstanders er vanaf gehaald en naar de kant van de weg gebracht. Ff een beetje bijkomen van de schrik in de nu HELE harde regen en onweer, en kijken of er iets stuk was aan de motor. de 'mesjien' deed het gelukkig nog, maar de achterrem zat vast, dus wiel draaide niet. Ik had natuurlijk niet mn telefoon bij me, dus even melden dat het wat later zou worden kon niet. Verder had ik een motor die niet weg kon rijden, een wat gevoelige enkel, en was ik ondertussen drijfnat. Na ongeveer een uur rondlopen in de buurt, en uiteindelijk met hulp van een alleraardigste becak chauffeur een motor monteur gevonden, die dmv een baksteen tegen de motor aan te slaan (terwijl hij met zn andere hand een rubberen mat boven zn hoofd hield om nog soort van droog te blijven) het wiel weer liet draaien (ja, by then maakte het me allemaal niet zoveel meer uit).
Ik blij, en in de 2e versnelling door plensbuien en diepe plassen naar huis gereden (schakelen was een beetje auw).
Thuis heeft Carola de motor naar binnen geduwd, en die had zich inderdaad al afgevraagd waar ik nou bleef..


Ik kreeg mn eigen rolstoel (best vet, stiekem - vooral als je niet door de suster word rondgereden, maar zelf rolt), en direct naar de rontgen afdeling. Ik heb de beste rontgenfoto jongen in de tussentijd nog een paar tips gegeven om straling te verminderen, en na een aantal minuten kregen we de fotos in handen, om terug naar de eerste hulp te nemen. Instelling technisch niet helemaal perfect, maar goed genoeg om wat duidelijke veranderingen te zien: tijdens het teruggaan naar eh hoorde ik carola zeggen "nou, die enkel is dus stuk" en met een snelle blik achterover vanuit de rolstoel was ik het daar wel mee eens. Hetzelfde met de grote teen.
De eerste hulp dokter keek wat leek op n kwartier aandachtig naar de fotos, waarop ik nog zei: "kijk, das nou goed, alles bekijken, niet focussen op het duidelijke probleem". Haar conclusie: verstuikte enkel, paracetamolletje, en naar huis. Ik wees dus even de fracturen aan, waarna ze zei "nee, verstuikt, maar misschien kan je morgen langs de orthopeed gaan? *zucht...*
Het desbetreffende ziekenhuis (met het heel erg internationaal aandoende motto: " We Care Your Health"....) wilde ik dus liever niet meer naartoe. Achteraf was de vorige keer toen ik dengue had in dat ziekenhuis de diagnose ook oorspronkelijk mazelen, waarna ik zelf maar heb gevraagd om specifiek op dengue te testen... Toch een beetje verontrustend allemaal, je kan dus beter niet iets echt ergs krijgen terwijl in Bogor, al zijn er genoeg capabele mensen in Jakarta, maar da's net even wat verder weg, en vastzitten in het verkeer met iets echt ergs lijkt me ook niet echt fijn..
Ik wist nog wel een echt goede orthopeed in Jakarta, die ook 1 van de orangutans heeft gefixt vorig jaar. Die had ongeveer een milliseconde nodig om de breuken te zien, en gaf de keuze opereren (pennetje erin, en meteen klaar) of, iets langere duur, maar zelfde resultaat, want nette fractuurlijn - een gipsje. Het is dus de tweede keus geworden, 2 weken rust, en dan nog 2-4 weken langer dat gips erop laten, maar mag er dan op lopen.
Ondertussen, na 8 dagen, word ik al redelijk gek van het stilzitten..
Maargoed, dit alles gebeurde dus net buiten de botanische tuin. (grappig trouwens, op de nederlandse wikipedia staat dat het in 1817 was gesticht door meneer Reinwardt (een nederlander), terwijl het eigenlijk de tuin en paleis al in 1744 door de VOC werden gebouwd (dat vakantiehuisje voor nederlandse gouverneurs heette dus 'Buitenzorg', wat later de naam van de hele stad werd) en daarna vormgegeven door Governor Raffles in 1811, toen de engelsen het voor het zeggen hadden op Java (engelse wiki). Na de onafhankelijkheid vond president Soekarno het wel een mooie plek om te wonen als presidentieel paleis, en veranderde ook meteen de naam van de tuin maar van 'sLands Plantentuin naar Kebun Raya.

Toen bleek het dus de algemene bezichtiging te zijn, en gingen we in een heeeele lange rij mensen uiteindelijk de paleis gronden in. Maargoed.
President Soeharto stond bekend om zijn liefde voor het vrouwelijk schoon, of in ieder geval de kunst waar vrouwen in worden afgebeeld. Die hele tuin staat dus ook nog steeds vol met beelden van schaars geklede of naakte dames. Ook binnen in het paleis overal schilderijen en beelden van vrouwen. Mooi.

Die pronowet moet ik het trouwens ook binnenkort weer eens over hebben. Nu toch tiet zat. :-)
Toch was het wel mooi om het paleis even te zien. Verder nog even poseren voor de voorkant van het gebouw, en dat was weer een mooi ochtendje toeristje spelen in Bogor.
Geen opmerkingen:
Een reactie posten